Orthodontic Mini Screws: Your Guide

D.Lendarius 19 views
Orthodontic Mini Screws: Your Guide

Orthodontic Mini Screws: Your Guide

Hey everyone! Today, we’re diving deep into the world of orthodontic mini screws , often called temporary anchorage devices or TADs. These little guys have totally revolutionized how orthodontists can move your teeth. If you’re wondering what they are, how they work, and if you might need one, stick around because we’re going to break it all down for you.

What Exactly Are Orthodontic Mini Screws?

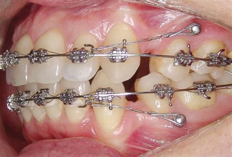
So, what are these mini screws we keep talking about? Orthodontic mini screws are tiny, screw-like implants that an orthodontist places directly into your jawbone, usually between your teeth roots. Think of them as super-anchors for your braces or aligners. Their main gig is to provide a stable point from which to apply force, allowing for more precise and efficient tooth movement. Before TADs came along, orthodontists often had to rely on other teeth or even headgear to create the necessary anchorage. This could sometimes lead to unwanted tooth movement or less predictable results. Mini screws, however, give us a much more controlled way to achieve complex tooth movements that were previously very difficult or even impossible. They are typically made of biocompatible materials like titanium alloy, which means your body generally accepts them really well and they don’t cause any adverse reactions. The placement is usually a quick in-office procedure, and they are removed once they’ve done their job, leaving you with a beautiful smile and no lasting implants.

Why Would You Need Orthodontic Mini Screws?

Alright, so why might your orthodontist suggest using orthodontic mini screws ? There are a bunch of reasons, but they all boil down to needing extra help to get your teeth exactly where they need to be. One of the most common reasons is for skeletal anchorage . This means the screw is anchored to your jawbone, not just your teeth, to move teeth in ways that would be impossible otherwise. For instance, if you have a significant bite issue where your upper front teeth are sticking out way too far (a condition called a severe Class II malocclusion), mini screws can be used to pull those teeth back without pushing other teeth forward. This is a game-changer! Another big one is correcting midline discrepancies . Sometimes, the centerlines of your upper and lower teeth don’t line up, and getting them aligned can be tricky. Mini screws offer a way to precisely move specific teeth to achieve that perfect match. They’re also fantastic for closing large gaps between teeth, especially if those gaps are a result of missing teeth or previous extractions. Instead of using bulky appliances or relying on adjacent teeth, which might tip into the gap, a mini screw provides a stable anchor to pull the teeth across the space efficiently. For those with impacted teeth – teeth that are stuck under the gums and haven’t erupted properly – mini screws are invaluable. They allow the orthodontist to attach a small chain or spring to the impacted tooth and gently guide it into its correct position in the arch. This is often a much faster and more predictable treatment than older methods. Lastly, they can help reduce treatment time . By providing a strong, reliable anchor, orthodontists can often move teeth more directly and efficiently, potentially shortening the overall duration of your orthodontic treatment. So, if your case is a bit more complex or requires a specific type of tooth movement, mini screws might just be the secret weapon your orthodontist needs to achieve your dream smile.

The Mini Screw Placement Procedure

Okay, let’s talk about getting these orthodontic mini screws placed. It sounds a little intimidating, right? But honestly, guys, it’s usually a pretty straightforward and relatively quick procedure. Before anything happens, your orthodontist will likely take some X-rays or a 3D scan to figure out the perfect spot for the screw. This is super important to make sure it goes in smoothly and safely, avoiding any nerves or other sensitive structures. When you come in for the placement, the area will be thoroughly numbed with a local anesthetic, just like when you get a filling at the dentist. You might feel a little pressure, but you shouldn’t feel any sharp pain. The actual placement involves using a special handpiece to gently screw the mini screw into the jawbone. It typically takes just a few minutes to place each screw. Once it’s in, you might feel a little tenderness or soreness for a day or two, kind of like how your teeth might feel after a brace adjustment. Your orthodontist will give you specific instructions on how to care for the area, which usually involves gentle brushing and rinsing with an antiseptic mouthwash to keep it clean and prevent infection. They’ll also tell you what to expect in terms of any minor discomfort and when to schedule its removal. The whole process is designed to be as comfortable and efficient as possible, ensuring these little helpers can get to work stabilizing your orthodontic treatment.

Life With Mini Screws: What to Expect

Living with orthodontic mini screws is usually pretty manageable, and most people adapt quickly. The initial few days might involve some mild soreness or a feeling of something being in your mouth, but this typically subsides fairly quickly as you get used to them. The main thing to focus on is keeping the area around the mini screw clean. Your orthodontist will provide you with instructions, but generally, this involves meticulous oral hygiene. You’ll want to brush gently around the screw with a soft-bristled toothbrush and rinse your mouth thoroughly after meals, often with a special antiseptic mouthwash. Think of it like keeping your braces super clean, but with an extra little spot to pay attention to. Eating might require a slight adjustment at first. It’s often best to stick to softer foods for the first few days and avoid biting directly onto the screw or the area immediately around it. Crunchy, hard, or sticky foods should be avoided, just like you would with regular braces, to prevent any accidental damage to the screw or your orthodontic appliances. You’ll also want to be mindful of your tongue brushing against it. Over time, you’ll barely notice it’s there. The screw itself is designed to be discreet and doesn’t usually interfere with talking or eating once you’ve adjusted. Your orthodontist will monitor the screw’s stability throughout your treatment and will schedule its removal once it has served its purpose. Removing the mini screw is typically a much quicker and less involved process than placement, often done with just a local anesthetic or sometimes even without it, depending on the location and how long it’s been in. They simply unscrew it, and it leaves behind a tiny spot that heals up quickly.

The Benefits of Using Mini Screws

Let’s chat about why orthodontic mini screws are such a big deal in the orthodontics world. The biggest benefit, hands down, is enhanced anchorage . This means your orthodontist has a super-stable point to pull or push teeth from, without causing unwanted movement in other teeth. This leads to more predictable and efficient tooth movement. Imagine trying to push a wall over – you need a solid base to push from. That’s what mini screws provide for your teeth. Another massive plus is their versatility . They can be used to solve a wide range of orthodontic problems, from retracting severe protrusion to intruding over-erupted molars, closing gaps, and guiding impacted teeth. They’re like the Swiss Army knife of orthodontic anchorage! For many patients, using mini screws can also lead to reduced treatment time . By enabling more direct and controlled tooth movements, your orthodontist can often achieve your smile goals faster than with traditional methods. Think about it: if you can move teeth exactly where you want them to go without messing around with other teeth, you’re going to get there quicker, right? Plus, they are minimally invasive . The placement procedure is relatively simple and quick, and removal is even faster. Unlike some older anchorage methods that might have required headgear or complicated appliances, mini screws are small, discreet, and generally well-tolerated by patients. They are also quite cost-effective in the long run, especially when you consider how much they can simplify complex treatments and potentially shorten the overall duration of care. So, while they might seem like a small addition to your treatment, the impact of orthodontic mini screws on achieving a successful and efficient outcome is truly significant. They are a fantastic tool in the orthodontist’s arsenal for creating beautiful, healthy smiles.

Are There Any Downsides to Mini Screws?

While orthodontic mini screws are fantastic, it’s only fair to mention if there are any potential downsides, guys. The most common issue is localized irritation or inflammation around the screw site. This is usually due to plaque buildup, which is why meticulous oral hygiene is so critical. If it happens, a good cleaning and perhaps a course of antiseptic mouthwash usually sort it out. Infection is a rare possibility, but again, good hygiene significantly minimizes this risk. Sometimes, the screw might become loose or fail to integrate properly with the bone. This is also uncommon, but if it happens, the screw is simply removed and a new one can be placed, perhaps in a slightly different spot. Another consideration is that while placement is generally simple, it does involve a minor surgical procedure. Some people might feel a bit anxious about this, but as we discussed, it’s done with local anesthetic and is usually very well-tolerated. Lastly, while they simplify many complex movements, they are an additional step in treatment, and there’s a small associated cost for their use. However, most orthodontists find that the benefits of improved efficiency and predictability often outweigh these minor considerations. The key takeaway is that these are rare occurrences, and with proper care and monitoring by your orthodontist, mini screws are a very safe and effective tool.

Conclusion

So there you have it, folks! Orthodontic mini screws , or TADs, are truly remarkable little devices that have made a huge difference in modern orthodontics. They provide unparalleled anchorage, allowing for precise and efficient tooth movement that can tackle even the most complex cases. Whether you need to correct a severe bite, close large gaps, or align midlines, these tiny screws offer a powerful solution. The placement and removal are generally straightforward procedures, and with good oral hygiene, living with them is quite manageable. While there are a few minor potential issues, the benefits they bring in terms of treatment efficiency, predictability, and the ability to achieve complex results often make them an invaluable part of your journey to a perfect smile. If your orthodontist suggests using mini screws, rest assured they’re likely using them to help you achieve the best possible outcome for your unique orthodontic needs. Keep smiling!